Hypominéralisation Dent De Lait

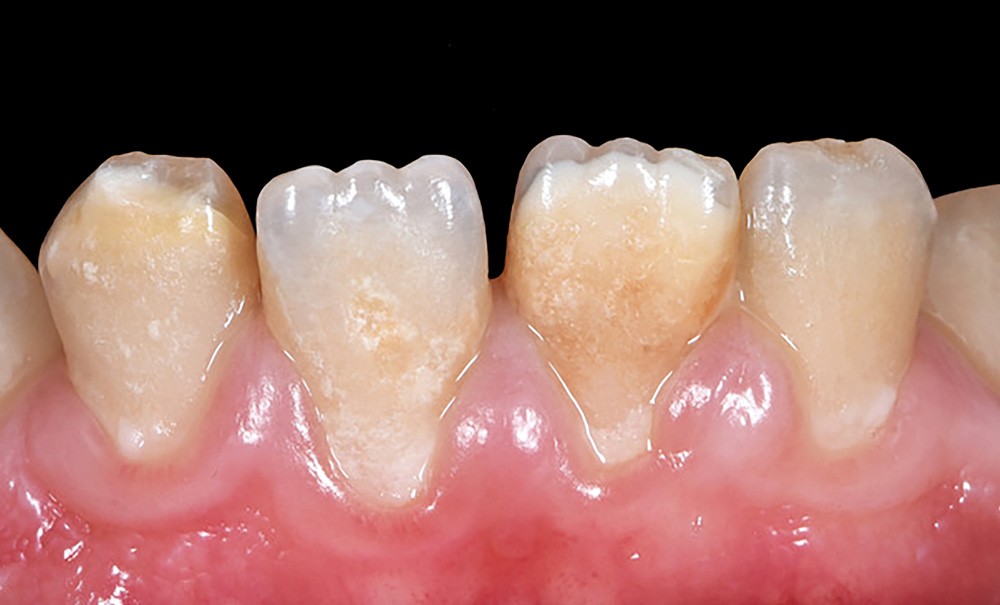
Hypominéralisation Dent De Lait. MolarIncisorHypomineralisation (MIH) Universitätsklinikum Giessen und Marburg L'hypominéralisation des molaires et des incisives, qu'est-ce que c'est ? Cette maladie qui affecte l'émail des dents de l'enfant peut avoir des conséquences importantes sur sa santé bucco-dentaire à moyen et à long terme Les incisives permanentes peuvent aussi être atteintes.

Hypominéralisation molaires incisives La Revue du Praticien
Hypominéralisation molaires incisives La Revue du Praticien from www.larevuedupraticien.fr

L'hypominéralisation des molaires et des incisives, qu'est-ce que c'est ? Cette maladie qui affecte l'émail des dents de l'enfant peut avoir des conséquences importantes sur sa santé bucco-dentaire à moyen et à long terme Elle touche au moins une ou les quatre premières molaires permanentes

Hypominéralisation molaires incisives La Revue du Praticien

L'hypominéralisation des molaires et des incisives, souvent abrégée en MIH (Molar Incisor Hypomineralization), est une affection dentaire touchant particulièrement les enfants L'hypominéralisation des incisives et molaires, connue sous l'acronyme MIH, est une condition qui compromet la qualité de l'émail dentaire et peut avoir des conséquences importantes sur la santé bucco-dentaire Apprenez ce qu'est la MIH, cette maladie des dents de l'enfant et pourquoi une prise en charge rapide peut éviter des complications.

MIH et AMÉLOGENÈSE Espace Dentaire Béziers. Du diagnostic aux soins, lisez ce guide pour tout savoir sur ce défaut de structure de l'émail des dents. L'hypominéralisation des incisives et molaires, connue sous l'acronyme MIH, est une condition qui compromet la qualité de l'émail dentaire et peut avoir des conséquences importantes sur la santé bucco-dentaire

JCM Free FullText Treatment Approaches to Molar Incisor Hypomineralization A Systematic Review. Qu'est-ce qu'une "molaire incisive hypominéralisation (MIH)" ? C'est une anomalie de la dent Apprenez ce qu'est la MIH, cette maladie des dents de l'enfant et pourquoi une prise en charge rapide peut éviter des complications.